Patient Stories
Is the future now?
- Pyrocarbon hemiarthroplasty is a new option for patients (particularly younger, more active) with advanced arthritis
- Because a plastic socket is not placed into the socket, there is no risk of socket loosening with time
- While 10 year follow up from Europe demonstrates very low need for second surgery at 10 years (11%), an important factor is that the surgeon size the head correctly during surgery
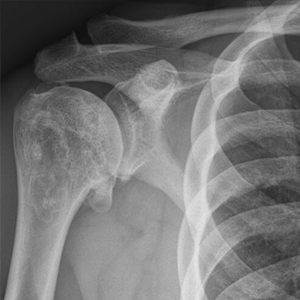
Pyrocarbon shoulder hemiarthroplasty
- Case Examples from Dr. Lee’s practice:
- This is a case example of a patient in his 40s who presented to us with severe shoulder pain, inability to work out and even raise his shoulder to chest level! At 6 months postoperatively he is back to the activities that he wants, keeping him active and healthy again
Lower trapezius transfer is a treatment option for irreparable rotator cuff tears in select individuals. Here we see significant improvement in range of motion and strength a few months after tendon transfer surgery!
Shoulder Replacement Surgery
KA underwent shoulder replacement surgery recently and reflects on the early postoperative course!
Patients undergoing total shoulder replacement among other cases
"They say a picture is worth a thousand words, well how about 9??? It’s been a great couple of surgical weeks with Dr. Lee. With these nine patients undergoing total shoulder replacement among other cases. They’re all well on their way to recovery now!"
Reconstructive Surgery for a Large Rotator Cuff Tear
This is a candid video from one of our patient's who underwent reconstructive surgery for a large rotator cuff tear. He worked hard and diligently with the rehabilitation and is doing great!
Reverse Shoulder Replacement - Patient Testimonial
Superior Capsule Reconstruction
TG is a highly motivated outdoorsman referred to Dr. Lee by another surgeon with a large, irreparable rotator cuff tear. He underwent a superior capsule reconstruction and is now back in the water, paddling 3-4 miles per day!
74 year young female who underwent Anatomic Total Shoulder Arthroplasty
Superior Capsule Reconstruction
While many techniques exist to repair rotator cuffs, sometimes due to tear retraction and atrophy, they can become irreparable. One treatment option is a superior capsule reconstruction, where a graft is fixed to the ball and socket in order to recreate the stability lost by the rotator cuff tear. SM is one of Dr. Lee’s patients who underwent the procedure and had a great result!
In the video the irreparable rotator cuff tear is demonstrated. This tendon lacks the excursion to be repaired. The intraoperative picture shows the graft affixed to the humerus/ball, also the area of the highlighted circle on the schematic diagram.
Anatomic Shoulder Replacement on one shoulder and a Reverse Shoulder Replacement on the other
MY is a unique patient who had an anatomic shoulder replacement on one shoulder and a reverse shoulder replacement on the other... he has had a great result and gives his perspective on both!
Rotator Cuff Repair with Allograft Augmentation
Maria is a nurse who sustained a shoulder injury while caring for a patient. On clinical examination and MRI she had findings consistent with a large rotator cuff tear and elected to undergo rotator cuff repair. Due to the nature of the tear, cadaveric tissue was used to augment the rotator cuff repair in order to aid healing. This procedure can be done arthroscopically utilizing only small incisions. She has made a great recovery and is back to work!

Arthroscopic video assessing how the tendon should be fixed
Arthroscopic videos demonstrating the repair construct
Sutures are passed through the tendon AND the cadaveric tissue and then tied and secured into lateral anchors securing the repaired tendon and graft back to the bone!
Anatomic Right Shoulder Arthroplasty
Jeff is a 63 year old male who presented with years of sharp, incapacitating right shoulder pain. After a course of nonoperative treatment he underwent an anatomic right shoulder arthroplasty. He has done a great job in PT postoperatively and is back to golfing and sleeping soundly again!
Rotator Cuff Repair
Jon is a 60 year old male who works in heavy labor. After an unfortunate fall at work, he was unable to use his shoulder with any strength. An MRI demonstrated a large rotator cuff tear, and fortunately he was able to have all 3 torn tendons repaired arthroscopically. He worked closely with physical therapy and is now back to work without restrictions and pain! Great job rehabilitating from a difficult injury Jon!
Shoulder Replacement
David is a 78 year old gentleman who enjoys ballroom dancing and being in the outdoors! He had debilitating arthritis and rotator cuff tears in both shoulders, and underwent reverse shoulder replacement four months apart. In the video below he is 6 weeks postoperative from right shoulder replacement and 6 months out from left shoulder replacement! Custom baseplates were used on both sides due to complex bony wear on the glenoid/socket, and through diligent rehabilitation he has already achieved an excellent result. Reverse shoulder replacement can get you back to the activities that you enjoy!




















